« Bonjour Hélène et bonjour les filles,
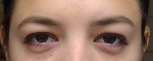
Voici mes yeux, avec et sans maquillage….






Jetrouve mes yeux sont avant tout « lourds » car ma paupière fixe avance pas mal et cache la paupière mobile et du coup on ne voit pas bien, voir pas du tout le maquillage.
Je les trouve aussi tombant, ça m’a frappée sur les photos !
Ce que j’aime par contre c’est leur couleur et surtout leur expression car quand je souris le coin externe remonte et me donne un air malicieux !
J’ai l’intérieur et le dessous de l’œil assez rouge, c’est pour ça qu’avant, je mettais souvent du crayon à l’intérieur. (Beaucoup moins maintenant depuis que je lis MBDF….).
De manière générale je suis le plus souvent maquillée dans les bruns avec le kittycat de clinique et le frosted beige de Dior. Je ne suis pas très inventive (voir pas du tout), j’aime bien les couleurs douces et chaudes.
J’ai la peau très blanche qui tire un peu sur le jaune en hiver, je me maquille le teint avec du fond de teint clinique (Skin Smoother Pore Minimizing Makeup) et du blush très rose.
Je mets aussi du mascara, mais même si mes cils sont assez longs, comme ils poussent vraiment vers le bas, ce n’est pas flagrant (par contre on les voit bien sur les photos avec les yeux fermés).
Quand je mets trop de FAP j’ai souvent les yeux qui pleurent et qui font comme un panda… (plus le froid vu que je suis toujours à vélo…)
J’aimerai bien arriver à les alléger un peu, en les ouvrant aussi !
Merci beaucoup pour tous vos conseils! »
J’en pense :
J’aime beaucoup tes yeux et ton regard, ils ont une personnalité très forte, douce et ravissante !
Le maquillage de ton teint est parfait, tes sourcils aussi, passons aux yeux !
Effectivement ils ont la paupière fixe qui retombe un peu sur la paupière mobile, mais d’une, c’est loin d’être moche (je trouve que ça a un charme fou), et de deux, c’est facile à corriger si on n’aime pas trop.
Lullaby nous a écrit un super billet qui concerne exactement ton type d’yeux, je te conseille de le relire, il est ici.
En résumé, il ne faut pas que tu hésites à remonter ton fard au dessus du pli, de façon à ce qu’il soit visible sur la paupière fixe, même sur œil ouvert.
Par effet d’optique, ça va « remonter » ton œil.
(j’ai fait une vidéo qui explique cette technique mais elle n’est pas encore en ligne, je la posterai ce week-end, je pense qu’elle devrait t’aider ;-)
Si tu peux, évite le trait de crayon au ras des cils supérieurs, il a tendance à faire tomber l’œil sans pour autant l’agrandir, il ne présente donc pas tellement d’intérêt ;-)
Et n’hésites pas à poser un peu de fard plus clair au coin interne de la paupière mobile (en haut, donc), ça ouvre le regard.
Les couleurs douces et chaudes que tu aimes te vont très bien, et mettent en valeur la magnifique couleur de tes iris.
Si tu veux compléter ta collection, il y a chez MAC quelques fards qui devraient te plaire : Satin Taupe, Tempting, Era satin à marier avec un plus sombre flouté au ras des cils, Brun satin, Shroom, Naked Lunch, et puis Mulch et Vanilla.
Que des couleurs neutres et naturelles, mais qui combinées entre elles, peuvent donner un résultat super joli.
Et si un jour tu as envie de sortir des couleurs neutres, sans pour autant tombe dans le vert vif ou le orange, pourquoi ne pas jeter un œil du côté des kakis ? Le Greensmoke chez MAC devrait t’aller très bien, ça vaut le coup d’essayer ;-)
Si tes yeux sont facilement rouges, tu peux corriger ça avec un coup de crayon beige sur la muqueuse (surtout pas blanc qui fait super artificiel, ni noir car réservé aux maquillages plus sophistiqués genre smoky) : il y en a un très bien chez Cargo (celui de Make Up Forever est bien aussi, mais pas tout à fait assez gras à mon goût).
Côté mascara, je suis évidemment tentée de te recommander le Smoky Lash de Make Up Forever, comme il est bien épaississant et recourbant, ça devrait bien convenir à tes cils.
Qu’en dis-tu ? Les filles ?

17 commentaires
Effectivement la couleur de tes yeux est très belle, bien foncée, ça donne un regard perçant très joli… Pour la forme si tu veux la modifier un peu je te répéterai ce que t’as dit Hélène : consulte la bible rédigée par Lullaby ça devrait faire ton bonheur!!!
Je pense qu’en étirant un fard un peu plus foncé vers le haut à l’extérieur de l’oeil (sur la paupière fixe) ça devrait « amandiser » un peu sa forme et le relever un chouilla…
Pour tes cils je te recommande sans hésiter d’utiliser un recourbe cils!!! Ca marche contrairement à ce que je pensais (à utiliser avant la pose du mascara) et un mascara volume et recourbant (xxl de maybelline est pas mal…). Si tu veux continuer à porter du crayon sur la ligne supérieure des cils, tu peux limiter le tracé au tiers extérieur et sans suivre la ligne des cils, plutôt un trait assez droit avec une petite virgule à l’extérieur qui remonte (tu peux colorer l’espace entre tes cils et le crayon sans problème)….
Niveau couleur de fards tout t’ira je pense (la joie des vrais iris marrons :)) )
Ce sont des yeux « à la Charlotte Rampling » que je vois là: c’est très beau…Pour moi, c’est le contraire, ils sont creusés, et j’aimerais bien avoir un peu plus de paupière supérieure…n’est-il pas vrai qu’on est jamais content de ce que l’on a?!
Bonne journée à toutes!
Je compatis, j’ai le même souci que toi : les yeux qui pleurent dès que je mets trop de fard, et tout le boulot des 15 dernières minutes foutu (surtout que bon, je fais des maquillages plus sophistiqués quand je veux particulièrement être jolie, logique…Effet raté garanti). Si quelqu’un a une solution…
Pour le reste, tu as en effet de la chance d’avoir des yeux expressifs ! les miens ne le sont pas, on a toujours l’impression que je fais la gueule, ce qui est quand même dommage.
Sinon, je n’oserai conseiller de couleurs. Mais sur les yeux marrons, j’aime particulièrement les bleus, pas forcement flashy, hein, mais les beaux bleus foncé type Contrast (c’est bien ça ?), ça devrait être joli sur toi.
En tous cas, des photos que l’on a ici, c’est la dernière que je préfère, ça te va super bien.
Je plussoie à mort toutes les autres.
Tu as un très joli regard, doux et expressif à la fois !
Et pour les yeux « à la charlotte rampling », je confirme, la « méthode Lullaby » est top !
http://www.monblogdefille.com/blog/20090126comment-maquiller-des-yeux-matures-ou-enfonces-par-lullaby77
J’ai le même « souci » (si on peut appeler ça un souci), et la méthode « clair partout, puis banane au dessus du pli puis outer V », fait vraiment ressortir la paupière mobile, ça change tout, je trouve !
Ah oui moi aussi j’arrive au boulot les yeux tout dégoulinant parfois pour cause de trajet à vélo uniquement en descente le matin.
Le plus possible, je mets donc des lunettes (de soleil les jours de lentilles). Ca marche pas mal.
Quant au maquillage, je vous fais part ici du revirement qui est en train de s’opérer en ce moment chez moi: ayant aussi des paupières fixes un peu « mangées » par celle du dessus, vous pensez bien que je dépassais allègrement en posant les fards sur celle du dessous, comme recommandé.
Et je ne sais plus qui ici a dit récemment, que finalement elle trouvait plus « subtil » (c’est pas tellement le terme, mais là je n’en trouve pas d’autre) que le fard ne soit qu’entrevu lors des clignements de paupière. Et je me demande si je ne suis pas en train de penser la même chose. Je suis toujours séduite quand une fille laisse voir un peu de son joli fard, et hop, il disparaît! Je guette alors la prochaine fois.
Donc je dirais: oui au dépassement (quand les fards sont beaux comme ceux de MAC, c’est vrai qu’on veut les voir!) mais pas de panique pour les petits yeux, ça a aussi son charme si on ne reste que sur la paupière fixe!
Bon ce n’est que mon humble avis (et cela exclut toute considération sur le remodelage de l’œil via la pause du fard, qui a bien sûr son utilité, je ne le nie pas).
On dirait le regard malicieu de Mélanie Doutey!!
Voilà, c’est ma mince contribution de la journée…il y en d’autres qui font mieux que moi en terme de make-up, je leur laisse la main….:)))
@Deilema : je pourrais copier ton comm mot pour mot ;-)))
(Hélène : ton lien vers le billet de Lullaby est inactif) (Sous celui-ci je crois, patte_d_anguille avait posé un lien vers un tuto très intéressant)
Lytanie je trouve ton regard délicieusement doux et plein de caractère, et la couleur de ton iris extraordinairement profonde et qui t’autorise toutes les couleurs que tu voudras, peu à peu, essayer.
Les yeux qui pleurent pour cause de vent à vélo : j’ai les mêmes ;-)
C’est pourquoi naguère je ne maquillais pas du tout (du tout du tout) le dessous (je sortais sans culotte, quoi, ô shame). Désormais, je pose un tout petit peu de base à paupière au ras des cils du bas et je ne me prive pas de fard. Mais du crayon posé en pointillé et estompé est plus tenace.
Pour revenir sur la technique dite « de Lullaby », son corollaire, le dépassement de fard sur paupière fixe, pourra te paraître étrange les premières fois. En fait, et a fortiori avec des couleurs neutres comme celles que tu aimes, c’est très naturel ; je l’ai vite adopté. Tu peux jouer sur les textures de fard, et sur ta forme de paupières je dirais du brillant (satiné, irisé, pailleté, ce que tu aimes) sur la paupière mobile, du plus velouté (satiné, mat) en banane au-dessus du pli. Mais peut-être que je me plante..
Aux couleurs qu’Hélène te suggère, j’ajouterais mes nouveaux amis Copperplate (une espèce de taupe mat, beaucoup beaucoup moins clair qu’il n’apparaît sur maccosmetics.fr, la quintessence du fard neutre ;-)) et le divin Smut (argh comment le définir : un noir brun aubergine qui brille à peine et fait un outer v d’enfer). Je plussoie sur la piste kaki (Greensmoke certainement, mais peut-être aussi Sumptuous Olive, plus doré), et te suggère d’aller voir vers les gris satinés plutôt clairs. Voire un bleu ardoise : le graal.. (voir peut-être Faded Denim chez Clinique).
Je suis très curieuse de voir tes nouveaux essais.
Tu as une très jolie couleur d’yeux Lytanie et un beau regard (héhé vive les yeux marrons!).
Pour les fàp je ne peux pas te conseiller car je n’y connaît rien du tout, mais je pense comme Titburette que du liner/crayon (pour moi c’est un peu pareil, non Hélène ne me fouette pas avec les étiquettes qui grattent je suis nulle en make-up :-)) qui ne suit pas la ligne de tes cils pourrait être très joli. Pourquoi pas le maquillage de la dernière vidéo avec la palette Cargo? Après c’est une question de goût, moi j’aime le liner, d’autres non, chacun son truc!
Lytanie tu as des yeux magnifiques.
Et effectivement je ne peux que redire que ce que j’avais écrit dans mon article s’applique tout à fait à ton cas (et au miens, on a des yeux très semblables au niveau forme, je trouve).
Le seul fàp Mac que je rajouterais à ce qu’on t’a déjà dit plus haut c’est All that Glitters, un doré-pêché qui donne merveilleusement bien comme couleur moyenne, avant d’ajouter la couleur foncée comme expliqué dans « ma » méthode (qui n’est pas la mienne, je le reprécise). C’est doux et chaud, ça devrait te plaire. Et le Contrast mac, un bleu foncé à tomber qui va à tout le monde mais particulièrement en outer V sur des yeux marrons :-)
Bon amusement :-)
et bien cette jeune femme a de bien jolis yeux. j’ai le même problème que toi. la paupière qui tombe mais j’ai 34 ans alors j’ai l’impression d’avoir l’oeil triste.
Bonne journée à toutes
Merci Hélène et merci les filles, c’est vraiment gentil, tous vos commentaires et vos compliments me font chaud au coeur!
Je vais lire tout ça bien tranquillement et même me l’imprimer ainsi que le billet de Lullaby pour faire des essais.
J’aime beaucoup le commentaire de Marinette sur le côté « subtil » du maquillage mais je vais me lancer aussi sur les fards qui remontent sur la paupière fixe!
C’est vrai que de manière général j’ai le regard tellement expressif qu’on peut lire sur mon visage à livre ouvert! Ca a des bons côtés mais aussi des mauvais….
Merci Hélène, je suis vraiment contente d’avoir mes yeux cette semaine sur ton blog, ça me fait super plaisir!
Bon Lytanie je vais la publier cet aprèm, la vidéo qui montre cette façon de poser le fard que j’adore, et qui va très bien sur paupières tombantes, comme ça il ne manquera rien ;-)
Arrggghhh merci Hélène c’est génial!!
J’adore le coup de la paupière tombante quand tu appuies dessus!!
J’ai tout compris j’essaye ça ce soir, je suis excitée comme une puce,
je sens que les exemples vont suivre très très vite!!
Je plussoie mes blogo-copines :-)) la méthode donnée ici par Lullaby 77 est carrément géniale. L’essayer c’est l’adopter.
J’ai résolu de mon côté le problème des yeux qui pleurent (accentué par le vélo, je confirme) par une bonne base à paupière.
Concernant les couleurs, en plus de ce qu’ont déjà dit Hélène et les filles, j’aurais envie de te suggérer une association rose et marron ( Hélène a fait une vidéo récemment) en posant les couleurs différemment pour bien qu’on les voit . C’est pas trop voyant et très joli.
Roh tu es choute, Lytanie, je suis ravie que ça te serve ! ;-)
dola je suis d’accord avec le halo marron et rose, très bonne idée !
http://www.monblogdefille.com/blog/20090118video-halo-marron-et-rose
Bonjour à toutes
je regarde souvent les conseils de maquillage pour les yeux mais ne les applique pas car jusqu’à présent, aucune lectrice n’avait les mêmes yeux que moi
et là, c’est vraiment dingue, Lytanie, j’ai exactement les mêmes yeux que toi (à part les cils, que tu as beaux et longs) ! couleur, forme, et le plus troublant, c’est que j’utilise les mêmes couleurs que celle qu’Hélène recommande ! Satin taupe de chez MAC tue
Sinon, chez Bobbi Brown, prends Stone, une couleur magnifique.
bref, mon commentaire est assez peu intéressant mais ça m’a vraiment interpellé de voir « mes »yeux sur MBDF ! je vais donc suivre tout ça à la lettre car moi aussi, je faisais l’erreur de mettre du crayon en haut alors que ça ne donne pas l’effet recherché finalement
Cookie Monster sois la bienvenue ! (et bravo pour le pseudo, j’adore ;-))